Dentist Smile Gallery in Greenville SC

Prosthodontics Before and After Photos

before

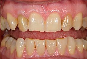
Before

Carolina Prosthodontics   Implant Dentistry | CBCT, Veneers and TMJ Disorders

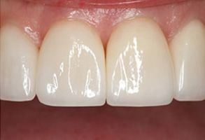
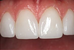
After

Carolina Prosthodontics   Implant Dentistry | Crowns  amp  Caps, Sleep Apnea and Cleft Palate

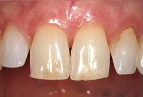
Before

Carolina Prosthodontics   Implant Dentistry | Crowns  amp  Caps, Sleep Apnea and Cleft Palate

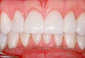
After

Carolina Prosthodontics   Implant Dentistry | Crowns  amp  Caps, TMJ Disorders and Preventative Program

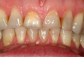
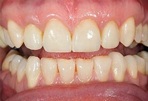
Before

Carolina Prosthodontics   Implant Dentistry | Single Tooth Implant, Sleep Apnea and Oral Exams

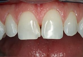
After

Carolina Prosthodontics   Implant Dentistry | Single Tooth Implant, Full mouth reconstruction and Dental Bridges

Before

Carolina Prosthodontics   Implant Dentistry | Implant Dentistry, Replacing Multiple Teeth and CAD CAM

After

Carolina Prosthodontics   Implant Dentistry | Night Guards, Sleep Apnea and Emergency Treatment

Before

Carolina Prosthodontics   Implant Dentistry | CBCT, Full mouth reconstruction and Cleft Palate

After

Carolina Prosthodontics   Implant Dentistry | Preventative Program, Night Guards and Dental Bridges

Before

Carolina Prosthodontics   Implant Dentistry | CBCT, Preventative Program and Night Guards

After

Carolina Prosthodontics   Implant Dentistry | CBCT, TMJ Disorders and Full mouth reconstruction

Before

Carolina Prosthodontics   Implant Dentistry | Cleft Palate, Veneers and Emergency Treatment

After

Schedule a visit today!
Contact Us
Submit

Thank You!

We appreciate you taking the time to visit our site. We'll review your message and be in touch with you soon.

Continue
Prosthodontics Greenville SC